치아를 최대로 보존하는 라미네이트 케이스

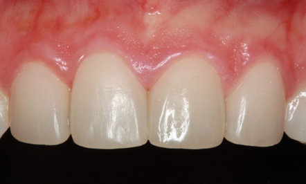
                                           fec502b4f7737.png                                       치료 후

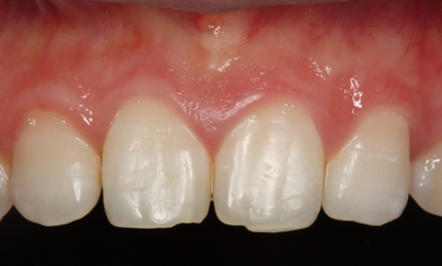
 ef065431c1dfb.png 

                                       치료 전

예약
문의

031-952-3872


오시는

경기도 파주시 문산읍 문향로 71, 

신성타워 4층(베스킨라빈스, KFC 건물)


진료
시간

평일

화요일

토요일

점심시간

오전 09:30 ~ 오후 06:00

오후 06:00 ~ 오후 08:30

오전 09:30 ~ 오후 02:00

오후  01:00 ~ 오후 02:00


토요일 점심시간 없이 진료합니다.

일요일 / 공휴일은 휴진입니다. 

  • 네이버예약

  • 인스타그램

  • 공식블로그

  • 톡톡 상담

  • 카톡 상담

병원명 1982부터, 더이해승치과의원
주소 경기도 파주시 문산읍 문향로 71, 신성타워 4층    
대표원장 이상엽    전화 031-952-3872    
사업자등록번호 398-91-01603

COPYRIGHT ©2025 ALL RIGHTS RESERVED. 

예약 문의

031-952-3872

오시는 길

경기도 파주시 문산읍 문향로 71, 신성타워 4층
(베스킨라빈스, KFC 건물)

진료 시간

평일

화요일  

토요일 

점심시간

오전 09:30 ~ 오후 06:00

오전 09:30 ~ 오후 08:30

오전 09:30 ~ 오후 02:00

오후  01:00 ~ 오후 02:00

토요일 점심시간 없이 진료합니다.

일요일 / 공휴일은 휴진입니다. 

병원명 1982부터, 더이해승치과의원    주소 경기도 파주시 문산읍 문향로 71, 신성타워 4층    대표원장 이상엽    전화 031-952-3872    사업자등록번호 398-91-01603

COPYRIGHT ©2025 ALL RIGHTS RESERVED.