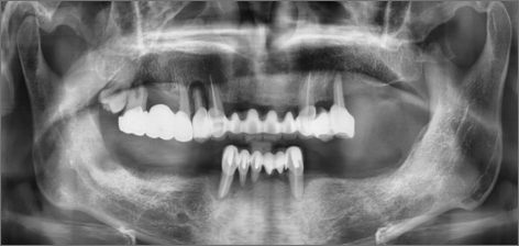
초진 : 2014.06.13
치료 후 : 2016.10.14
8년 후 : 2024.03.06치료 기간 : 2014.06.13 ~2024.03.06
THE 이해승치과에서 2014년에 치료 받으신 40대 환자분의 사례입니다. 흡연과 음주가 근본 원인이 되어 2014년 전악 임플란트 치료를 받으셨습니다. 감사하게도 저희와 함께 꾸준히 8년간 관리를 동행하시며 추가적인 전신 질환 없이 건강한 50대를 보내고 계십니다. 치료 경험을 통해 변화를 만드신 환자분을 존경합니다.
예약문의
031-952-3872
오시는길
경기도 파주시 문산읍 문향로 71,
신성타워 4층(베스킨라빈스, KFC 건물)
진료시간
평일
화요일
토요일
점심시간
오전 09:30 ~ 오후 06:00
오후 06:00 ~ 오후 08:30
오전 09:30 ~ 오후 02:00
오후 01:00 ~ 오후 02:00
토요일 점심시간 없이 진료합니다.
일요일 / 공휴일은 휴진입니다.
네이버예약
인스타그램
공식블로그
톡톡 상담
카톡 상담
병원명 1982부터, 더이해승치과의원주소 경기도 파주시 문산읍 문향로 71, 신성타워 4층 대표원장 이상엽 전화 031-952-3872 사업자등록번호 398-91-01603
COPYRIGHT ©2025 ALL RIGHTS RESERVED.
예약 문의
오시는 길
경기도 파주시 문산읍 문향로 71, 신성타워 4층(베스킨라빈스, KFC 건물)
진료 시간
오전 09:30 ~ 오후 08:30
병원명 1982부터, 더이해승치과의원 주소 경기도 파주시 문산읍 문향로 71, 신성타워 4층 대표원장 이상엽 전화 031-952-3872 사업자등록번호 398-91-01603
초진 : 2014.06.13
치료 후 : 2016.10.14

8년 후 : 2024.03.06
치료 기간 : 2014.06.13 ~2024.03.06
THE 이해승치과에서 2014년에 치료 받으신 40대 환자분의 사례입니다. 흡연과 음주가 근본 원인이 되어 2014년 전악 임플란트 치료를 받으셨습니다. 감사하게도 저희와 함께 꾸준히 8년간 관리를 동행하시며 추가적인 전신 질환 없이 건강한 50대를 보내고 계십니다. 치료 경험을 통해 변화를 만드신 환자분을 존경합니다.